两岁宝宝误食铁钉 宜宾市中医医院多科协作经胃镜巧取异物
日前,宜宾市中医医院普外科、放射科、胃镜室、麻醉科等多科协作成功救治一误食铁钉的2岁2月的患儿。
15日晚上8点左右,急诊科来了一对老年夫妻抱着2岁左右的孩子,焦急地的说:“医生快帮帮我,我的孙子吞了射钉枪铁钉。”在询问病史后得知,患儿误食了的铁钉大概有4厘米长。于是立即联系放射科行CT检查,结果提示在患儿的左侧上腹部查见多枚高密度金属影,考虑胃内金属异物,紧急转入普外科病房密切观察。值班医生随即联系内镜中心紧急会诊。
内镜中心主任颜天琼查看患儿病情后,认为目前铁钉位于胃内,虽然患儿年龄小、铁钉直径长,头端尖锐,内镜操作风险大,但如果患儿体内铁钉不及时取出,等待的时间越长,风险和困难将会成倍的增加,若铁钉一旦进入下消化道极易出现消化道穿孔、出血及感染等严重并发症。
如何将风险降到最低,宜宾市中医医院立即开通绿色通道,多科协作,经讨论决定选择对娃娃损伤最小的全麻下经胃镜行消化道异物取出术。术中在胃镜下见4枚铁钉嵌顿于幽门口,随时有排入十二指肠的风险,立即予异物钳夹取,整个操作过程娴熟、流畅,成功将4枚铁钉完整取出。
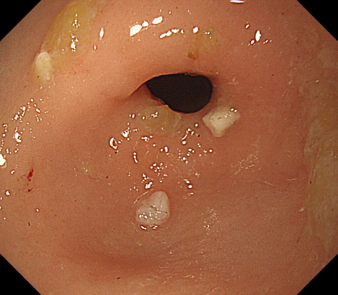
4枚铁钉嵌顿于幽门口
铁钉成功取出后的幽门口
正当大家觉得松了一口气时,胃镜再次进镜复查,在十二指肠降段处又发现5枚铁钉,此处是胃镜所能到达的最远距离,一次正常的肠蠕动或者细微的操作都有可能导致铁钉滑入十二指肠远端,胃镜将无能为力,此刻手术室气氛再次变得凝重。
十二指肠降段的铁钉
如何安全成功地夹取铁钉,是摆在颜主任面前的第一大难题,她立即换用能一次性抓取到更多异物的圈套器,小心翼翼地将5枚铁钉一并圈住,这时在场的医务人员顿时松了一口气。
圈套器将十二指肠降段的铁钉套住
但是如何将5枚4公分长的铁钉通过近乎直角的十二指肠球降交界转角处,以及再从狭小的幽门口取出,成了又一大难题,面对不断出现的困难,颜主任凭借多年的内镜经验,及时调整圈套器夹取铁钉的距离和方向,改变铁钉与腔道的角度,顺利将5枚铁钉拉到胃内,并将其全部取出体外,为确保患儿体内已无铁钉,急诊行床旁腹部摄片检查,结果提示患儿腹部未查见高密度金属影,宣告所有铁钉已全部取出,顿时整个手术室一片欢呼。
取出的9枚铁钉
目前患儿恢复良好,生命体征平稳,已恢复流质饮食,未诉不适。
专家提醒家长,临床上常见吞下异物种类多,临床采取的解决方法也不同,一旦遇到儿童吞咽异物的情况,应第一时间带孩子到正规医院就诊。家长切忌试图通过吃芹菜、韭菜以及水果等将异物压下,事实是,这些食物的重力作用会导致异物损伤消化道黏膜,轻者会引起出血,严重者会引起消化道穿孔导致大出血,危及生命。









川公网安备51150402000122








